preloader
  • All Days: 9:30am - 9:00pm

Oral Diagnosis and Radiology

What is Oral Diagnosis and Radiology?

Oral Diagnosis and Radiology involves the identification and evaluation of dental diseases using clinical examination and advanced imaging techniques. It is the first and most critical step in forming an effective treatment plan. Radiology plays a key role in detecting hidden issues that aren’t visible to the naked eye.

Types of Diagnostic and Radiographic Tools

  • Intraoral X-rays – Capture detailed images of individual teeth and surrounding bone.
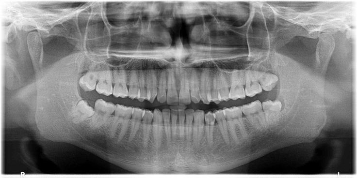
  • Panoramic X-rays – Show a full view of the upper and lower jaws in a single image.
  • CBCT (Cone Beam CT) – Provides 3D imaging for accurate diagnosis of complex cases.
  • OPG (Orthopantomogram) – Gives a panoramic view useful for wisdom tooth assessment, jaw issues, and more.
  • Clinical Oral Examination – A visual and tactile inspection of the mouth, gums, and teeth.
oral diagnosis and radiology

Benefits of Oral Diagnosis and Radiology

  • Early detection of cavities, infections, and cysts
  • Accurate planning for implants, RCTs, and surgeries
  • Identification of bone loss or hidden fractures
  • Prevents complications by timely intervention
  • Guides treatment with minimal invasiveness

FAQs

Are dental X-rays safe?
Yes, they use very low doses of radiation and are safe for both adults and children.
How often should X-rays be taken?
It depends on your oral health. Some may need them annually, others less frequently.
Can pregnant women undergo dental X-rays?
X-rays are usually avoided during pregnancy unless absolutely necessary and with proper shielding.
What is the purpose of a CBCT scan?
CBCT provides 3D imaging useful for implant placement, jaw assessment, and complex procedures.

Why Choose Suncity Dental?

Suncity Dental has advanced radiology tools and experienced professionals who ensure accurate and early diagnosis. Our team prioritizes safety, clarity, and efficiency, helping you understand your oral health better while planning precise treatments. We combine technology with clinical expertise to give you the most informed dental care.

Book Your Consultation Today!